Biomedical Computer Vision (BMCV)
Prof. Dr. Karl Rohr
Medical Image Analysis

Elastic registration of 2D and 3D multimodal medical images (MR, CT) for diagnosis, surgical planning, and therapy. Spline-based registration approaches using landmarks, intensity information, and landmark localization uncertainties.

Model-based segmentation of vessels from 3D tomographic images. Quantification of the morphology based on 3D parametric intensity models.

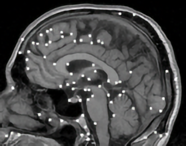
Localization of 3D anatomical point landmarks in 3D tomographic images. Development of differential and model-based approaches.

Investigation of theoretical limits for the precision of feature and landmark localization. Derivation of analytic lower bounds (Cramér-Rao lower bounds).

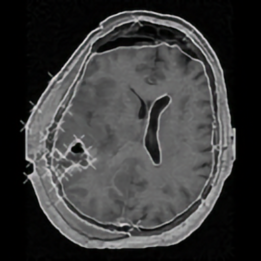
Brain shift correction for intraoperative navigation based on elastic registration algorithms.